Bệnh do Mycoplasma suis trên lợn
Mycoplasma suis (M. suis) tên gọi trước đây là Eperythrozoon suis, sau được phân loại lại thuộc chi Mycoplasma gây bệnh thiếu máu truyền nhiễm ở lợn (Infectious anaemia of pig – IAP), là nguyên nhân gây thiệt hại kinh tế cho ngành chăn nuôi lợn trên toàn thế giới (Ritzmann và cs., 2009). M. suis tấn công vào tế bào hồng cầu lợn, chúng bám lên bề mặt hồng cầu, xâm nhiễm vào trong tế bào, gây biến dạng, hư hại, làm sụt giảm số lượng cũng như chức năng của hồng cầu. Bệnh thiếu máu truyền nhiễm trên lợn bao gồm hai thể cấp tính và mạn tính xảy ra ở mọi lứa tuổi. Lợn mắc thể cấp tính có triệu chứng sốt cao (40-41oC), thiếu máu do số lượng hồng cầu giảm, glucose huyết giảm (Hoelzle và cs, 2003, Groebel và cs, 2009). Nhiễm trùng M. suis mạn tính gây ra tình trạng thiếu máu ở lợn sơ sinh, chậm tăng trưởng ở lợn thịt với triệu chứng thể trạng kém, vàng da, chậm lớn, da khô, lông xù, suy giảm miễn dịch khiến lợn mẫn cảm với các bệnh đường hô hấp, tiêu hóa, tăng chi phí chăn nuôi và điều trị, rối loạn tiết sữa ở lợn nái nuôi con, sảy thai, đẻ non và chậm động dục lại, tỉ lệ phối đạt thấp, rối loạn chức năng sinh sản (Hoelzle và cs, 2003, Strait và cs, 2012).
Bệnh do M. suis xảy ra ở mọi lứa tuổi lợn và nhiều khu vực trên thế giới, trong đó có Việt Nam. Tỉ lệ mắc M. suis phụ thuộc vào nhiều yếu tố bao gồm vị trí địa lí, điều kiện khí hậu và độ tuổi của lợn, tỉ lệ lợn nái nhiễm trong các trang trại thường khá cao. Nhiễm trùng M. suis đã được xác định ở lợn nuôi ở châu Âu, châu Mỹ, Nam Mỹ và châu Á, lợn rừng ở châu Âu. Ở Đức, có đến 40,8% trại nhiễm M. suis với tỉ lệ 13,9% lợn choai (20-30kg) (CSIRO, 2012), theo Stadler và cs., (2019) tỉ lệ lợn sơ sinh trước khi bú dương tính với M. suis là 14,35%, ở lợn nái tỉ lệ dương tính đến 31,25%. Trong khi đó, tỉ lệ lợn dương tính với M. suis tại Úc ở mức rất thấp, chỉ dao động trong khoảng 4,29% đến 6,45% (CSIRO, 2012). Brazil ghi nhận tỷ lệ nhiễm M. suis ở lợn lại rất cao, có thể lên đến 82,3% (Martins và cs., 2019). Cũng tại Brazil, Bordin và cs., (2021) ghi nhận 40,7% trại nhiễm M. suis, với tỷ lệ 18,7% lợn nái dương tính với M. suis. Brissonnier và cs., (2020) nghiên cứu tình hình nhiễm M. suis trên lợn nái tại Pháp đã ghi nhận có đến hơn 50% nái dương tính với M. suis, ở mọi lứa đẻ. Tại Trung quốc, nghiên cứu của Zhongyang và cs., (2017) cho thấy M. suis nhiễm trên tất cả các nhóm lợn, kể cả lợn đực, tỉ lệ nhiễm có xu hướng tăng qua các năm theo dõi từ 2014 đến 2016 là 25,9% đến 37,8%. Tại Việt Nam, tình hình nhiễm M. suis trên đàn lợn chưa được đánh giá đầy đủ, nhưng trong các khảo sát sơ bộ, phục vụ cho việc tìm kiếm phương pháp điều trị hiệu quả bệnh do M. suis, Nguyễn Ngọc Hải và cs đã ghi nhận tình trạng nhiễm M. suis nghiêm trọng tại các trại lợn và trên các lợn khảo sát với tỉ lệ nhiễm rất cao lên đến 100%. Do ít có thông tin về bệnh do M. suis và lợn bệnh có triệu chứng dễ nhầm lẫn với các bệnh phổ biến khác trên lợn như bệnh do Circovirus type 2, bệnh do Leptospira, bệnh do thiếu sắt…và việc sử dụng kháng sinh trong phòng và điều trị bệnh khiến cho việc chẩn đoán và kiểm soát bệnh không được chặt chẽ là nguy cơ lây lan nhanh M. suis bên trong các trang trại lợn ở Việt Nam.

Nguồn: https://doi.org/10.1128/iai.00773-08
Hình 1. Hình ảnh nhuộm cam Acridine tế bào hồng cầu dưới kính hiển vi huỳnh quang
Ghi chú: “A”: Tế bào hồng cầu bắt màu xanh lá mạ;
“C”: M. suis bắt màu cam bám trên bề mặt tế bào hồng cầu
M. suis cư trú trên tế bào hồng cầu, ký sinh trong máu nên hầu như chỉ lây nhiễm qua đường máu, không lây qua nước bọt, nước tiểu hay tinh dịch (Ade và cs., 2021). Lây nhiễm dọc có thể xảy ra khi lợn nái nhiễm M. suis, tuy nhiên không phải toàn bộ lợn con sinh ra đều bị lây nhiễm. Ngoài ra M. suis còn có thể lây nhiễm thông qua dụng cụ thú y (kim tiêm, dụng cụ phẫu thuật), vết chích côn trùng hút máu… Nghiên cứu của Zhongyang và cs (2017) cho thấy tỉ lệ nhiễm M. suis có biến động theo thời tiết, tăng cao hơn vào thời điểm giao mùa, mùa khô. Đây cũng là thời điểm thuận lợi cho sự phát triển của các loài côn trùng hút máu sinh sôi như ruồi, muỗi. Ngoài ra, các yếu tố stress cũng làm gia tăng mức độ trầm trọng của tình trạng bệnh do M. suis.

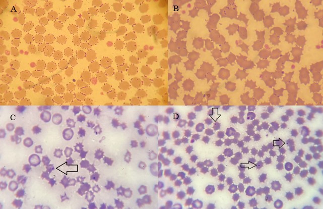
Hình 2. Tiêu bản máu ở lợn nhiễm M. suis. (A, B) Thể cấp, M. suis (chấm màu nâu đỏ) hiện diện trên khắp hồng cầu, gây biến dạng hồng cầu. (C, D) Thể mãn, M. suis hiện diện rãi rác trên hồng cầu. Hồng cầu bị biến dạng, hư hại, không bắt màu thuốc nhuộm Giemsa.
Nguồn: Tạp chí chăn nuôi
Hiện nay chưa có vắc xin phòng bệnh do M. suis gây ra, việc phòng bệnh cần kết hợp các biện pháp quản lý là chủ yếu. Do bệnh lây truyền qua đường máu và có thể lây truyền từ mẹ sang con nên công tác phòng bệnh cần thực hiện đồng bộ các giải pháp như kiểm tra tình trạng nhiễm M. suis ở đàn lợn nái hậu bị trước khi nhập đàn đưa vào khai thác; công tác cắt đuôi, bấm nanh, tiêm phòng… cần phải thực hiện khử trùng rất nghiêm ngặt dụng cụ và trang bị bảo hộ tránh lây nhiễm; giảm thiểu các yếu tố nguy cơ gây tổn thương da của lợn bằng quản lý tốt, không để lợn giành bú, cắn tai, cắn đuôi nhau…; định kỳ thực hiện vệ sinh chuồng trại.

	
 English