Trong nhiều năm trở lại đây, đã có nhiều nghiên cứu về bệnh do adenovirus gây ra ở lợn. Hiện nay adenovirus gây bệnh cho lợn đang được nghiên cứu ứng dụng để làm yếu tố dẫn truyền trong sản xuất vacxin (vaccine vector).
Năm 1953, Wallance và cộng sự đã phân lập được một loại virus mới từ bệnh nhân mắc bệnh viêm vòm họng (adenoids), đặt tên là adenovirus. Adenovirus lần đầu tiên phân lập được từ dịch ngoáy trực tràng của lợn con bị tiêu chảy (Haig và cộng sự, 1964). Năm 1966, virus lại được ghi nhận phân lập được từ não của lợn bị viêm não. Từ đó đến nay, người ta đã phân lập được adenovirus từ lợn mắc bệnh viêm phổi, tiêu chảy, viêm thận và viêm não.
Virus phân bố khắp nơi trên thế giới.
3.1. Phân loại
Có ba loài adenovirus gây bệnh cho lợn là A, B và C được xếp vào họ Adenoviridae, giống Matadenovirus. Bằng phản ứng trung hòa người ta đã xác định được 6 serotype; trong đó serotype 1,2 và 3 thuộc loài adenovirus A, serotype 4 thuộc loài adenovirus B và serotype 5 thuộc loài adenovirus C.
3.2. Hình thái, cấu trúc
Về cấu trúc, đặc tính hóa học và vật lý của các loài adenovirus gây bệnh cho lợn không thể phân biệt được với các loài khác trong họ Adenovirus.
Adenovirus là virus hình cầu, không có vỏ bọc. Đường kính hạt virus khoảng 80-90nm. Cấu trúc bộ gen của virus là một ADN sợi đôi, dài khoảng 32 – 34 kilobase, mã hóa cho gần 40 loại protein khác nhau.
3.3. Tính chất nuôi cấy
Có thể phân lập và nuôi cấy adenovirus gây bệnh cho lợn trên môi trường tế bào thận lợn, các loại tế bào dòng như PK-15, tế bào tuyến ức, tế bào tinh hoàn lợn. Virus có khả năng gây bệnh tích tế bào sau khi nuôi cấy 2 – 4 ngày. Bệnh tích đặc trưng là tế bào bị co tròn thành từng cục, trương to, bong tróc ra khỏi thành tế bào. Khi nhuộm tế bào có thể quan sát thấy tiểu thể bao hàm do sự tập trung của nhân tế bào lại với nhau.
3.4. Sức đề kháng
Virus tương đối bền với nhiệt độ. Ở nhiệt độ phòng, virus sống được 10 ngày. Một số chất sát trùng có thể bất hoạt virus như chất tẩy trắng, formaldehyde, cồn, hợp chất có phenol.
4.1. Loài vật mắc bệnh
Trong thiên nhiên, lợn được coi là loài vật mẫn cảm với adenovirus, mặc dù hiện nay vẫn chưa có những nghiên cứu thực nghiệm về loài vật mắc bệnh.
Lợn cũng mẫn cảm với adenovirus gây bệnh cho người, tuy nhiên hiện nay vẫn chưa có thông báo nào về sự truyền lây virus từ lợn sang người.
4.2. Phương thức truyền lây
Virus có thể lây qua đường tiêu hóa, ngoài ra còn lây theo đường hô hấp. Phần lớn phân lợn sau khi cai sữa đều có chứa virus. Thời gian tồn tại của virus trong phân tuy chưa được biết đến nhưng kết quả nghiên cứu cơ chế sinh bệnh cho thấy có thể phát hiện được kháng nguyên virus trong ruột tới 45 ngày sau nhiễm, chứng tỏ khả năng virus tồn tại lâu.
Lợn trưởng thành do hàm lượng kháng thể trong huyết thanh luôn ở mức cao giúp ngăn cho lợn không bị nhiễm virus.
4.3. Cơ chế sinh bệnh
Adenovirus chủ yếu gây bệnh đường tiêu hóa cho lợn, mặc dù có thể phân lập virus từ não của lợn có triệu chứng thần kinh. Ngoài ra, virus còn gây bệnh đường hô hấp.
Khi gây bệnh bằng cách nhỏ mũi hoặc cho uống, virus nhân lên đầu tiên ở hạch amidan và các hạch ruột non. Lợn nái bị nhiễm virus thường bị xảy thai do virus thường nhân lên với số lượng lớn trong nội tạng của thai.
Một số trường hợp, Adenovirus là tác nhân kế phát hoặc kết hợp cùng gây bệnh, ví dụ khi gây nhiễm cùng với M. hyopneumoniae sẽ viêm phổi rất nặng cho lợn.
Thời gian nung bệnh từ 3 – 4 ngày. Triệu chứng luôn gặp trong bệnh do Adenovirus gây ra ở lợn con là hiện tượng tiêu chảy, phân nhiều nước, nhão.
Tỷ lệ lợn có triệu chứng hô hấp thường thấp hơn so với lợn bị tiêu chảy. Dea và El Azhary (1984) ghi nhận có khoảng 15% lợn trưởng thành có triệu chứng hô hấp do nhiễm adenovirus serotype 4, tuy nhiên họ lại không tìm được mối liên hệ nào giữa hai quan sát này.
Mặc dù có thể phân lập được adenovirus từ thai bị xảy nhưng hiện nay vẫn có rất ít bằng chứng cho thấy virus là nguyên nhân làm mất khả năng sinh sản của lợn.
Khó quan sát được bệnh tích đại thể khi lợn bị nhiễm adenovirus. Bằng phương pháp gây bệnh thực nghiệm, quan sát thấy hạch lympho bị sưng to.
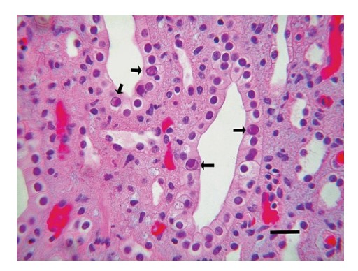
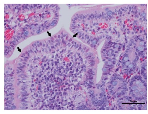
Bệnh tích vi thể: hình thành tiểu thể bao hàm, có thể quan sát được khi làm tiêu bản trực tiếp từ không tràng và hồi tràng. Kết quả gây bệnh thực nghiệm cũng cho thấy tế bào biểu mô của không tràng và hồi tràng bị phá hủy, trong khi đó lớp lông của ruột bị bào mòn. Màng não bị viêm, ống thận bị giãn nở. Phổi bị viêm biểu hiện: viêm kẽ phổi, thành phế nang dầy lên do tăng sinh tế bào vách ngăn và thâm nhiễm tế bào viêm.

Hình 1:Bệnh tích ở thận của lợn bị nhiễm PAdV
Nguồn: Diseases of Swine, © 2019 John Wiley & Sons, Inc.
Hình 2: Bệnh tích ở biểu mô ruột non của lợn bị nhiễm PAdV
Nguồn: Diseases of Swine, © 2019 John Wiley & Sons, Inc.
|
|
VII. CHẨN ĐOÁNCần chẩn đoán phân biệt bệnh do adenovirus với một số bệnh do các nguyên nhân gây bệnh dạ dày ruột và bệnh đường hô hấp.
Có thể sử dụng các phương pháp chẩn đoán sau:
– Dùng kính hiển vi điện tử
– Nuôi cấy virus trên môi trường tế bào, căn cứ vào bệnh tích tế bào để chẩn đoán; hoặc kết hợp với phương pháp kiểm tra bằng kính hiển vi điện tử, phản ứng miễn dịch huỳnh quang để khẳng định sự nhân lên của virus.
– Phản ứng huyết thanh học: sử dụng phản ứng trung hòa, phản ứng miễn dịch huỳnh quang.
– Sử dụng kỹ thuật PCR để chẩn đoán: có thể phát hiện và khẳng định adenovirus trong mẫu phân hoặc từ chủng virus phân lập được.
Với bệnh do adenovirus gây ra ở các loài khác, người ta đã chứng minh được để phòng bệnh hiệu quả có thể sử dụng vacxin. Tuy nhiên, hiệu quả của việc sử dụng vacxin và một số biện pháp khác để phòng bệnh do adenovirus gây ra cho lợn vẫn chưa được chứng minh.
IX. ĐIỀU TRỊ
Hiện nay không có phương pháp điều trị đặc hiệu.
Bộ môn Vi sinh vật – Truyền nhiễm – Khoa Thú y

English