TÓM TẮT
Nghiên cứu được thực hiện nhằm xác định các biến đổi bệnh lý và đặc tính sinh học của FPV gây bệnh trên mèo nuôi ở Hà Nội. Tổng số 8 con mèo từ 2 tháng tới 1 năm tuổi đã được quan sát triệu chứng, mổ khám và thu mẫu để nhuộm HE. Kết quả nghiên cứu cho thấy mèo bị bệnh giảm bạch cầu do FPV có các triệu trứng nôn mửa, mất nước, tiêu chảy… Bệnh tích đại thể ở dạ dày, ruột gồm sung huyết, niêm mạc xuất huyết, chất chứa trong lòng ruột có mùi tanh máu. Bệnh tích vi thể rõ nhất ở ruột với nang lympho thành ruột tăng sinh, thoái hóa tế bào biểu mô, lông nhung đứt gãy. Số lượng bạch cầu lympho giảm mạnh ở vùng vỏ các nang hạch màng treo ruột; bạch cầu đơn nhân lớn và đại thực bào tăng mạnh. Kết quả phân lập virus trên tế bào CRFK đã thu được 5 chủng virus khác nhau với hiệu giá dao động từ 1,77×108 – 1,77×109 TCID50/ml. Kết quả nghiên cứu về đường cong sinh trưởng của virus cho thấy với liều gây nhiễm MOI = 0,001, hiệu giá virus đạt giá trị cao nhất là 1010,5 TCID50/ml sau 36 giờ gây nhiễm virus.
Từ khóa: Bệnh giảm bạch cầu mèo, bệnh lý, FPV, phân lập virus

Hình 1. Bệnh tích đại thể của mèo mắc FPV
A – B: Ruột sung huyết, xuất huyết rải rác hoặc từng đoạn ngắn; C. Dạ dày sung huyết chứa nhiều dịch; D.Phổi viêm nhẹ.


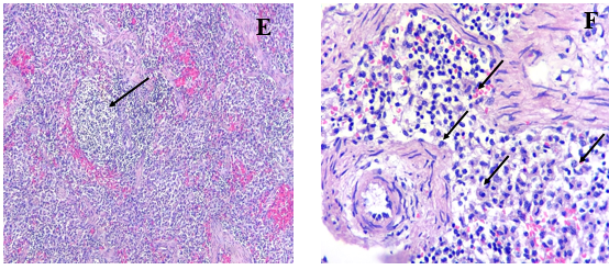
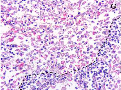
Hình 2. Bệnh tích vi thể của mèo mắc FPV
A) Nang lympho thành ruột tăng sinh (X100); B) Tế bảo biểu mô ruột thoái hóa (X400); C) Viêm phổi kẽ, vách phế nang dày(X200); D) Viêm phế quản, trong lòng phế quản chứa tế bào viêm (X100); E) Lách tăng sinh ở vùng tủy trắng với sự rộng ra của các nang lympho(X10); F) Số lượng tế bào lympho suy giảm mạnh ở vùng tủy trắng và các tế bào tăng sinh chủ yếu là bạch cầu đơn nhân lớn và đại thực bào (X200); G) Số lượng bạch cầu lympho giảm mạnh ở vùng vỏ các nang hạch màng treo ruột (dưới đường đứt nét). Các bạch cầu đơn nhân lớn và đại thực bào tăng mạnh (trên đường đứt nét)

Hình 3. Chủng virus VNUA-FPV02 trên dòng tế bào CRFK
NC: đối chứng tế bào thời điểm bắt đầu thí nghiệm (0 giờ), sau 20 giờ và sau 32 giờ gây nhiễm; CPE: bệnh tích tế bào thời điểm bắt đầu gây nhiễm, sau 20 giờ và sau 32 giờ gây nhiễm.
Kết luận: Mèo bị bệnh giảm bạch cầu do FPV có các triệu trứng nôn mửa, mất nước, tiêu chảy… Các bệnh tích đại thể ở dạ dày, ruột gồm sung huyết, niêm mạc xuất huyết, chất chứa trong lòng ruột có mùi tanh máu. Bệnh tích vi thể rõ nhất ở ruột với nang lympho thành ruột tăng sinh, thoái hóa tế bào biểu mô, lông nhung đứt gãy. Bệnh tích của hạch lympho cho thấy số lượng bạch cầu lympho giảm mạnh ở vùng vỏ các nang hạch màng treo ruột; bạch cầu đơn nhân lớn và đại thực bào tăng mạnh. Các bệnh tích khác quan sát được gồm viêm kẽ phổi, viêm phế quản phổi và tăng sinh các vùng tủy trắng trong mô lách.
Năm chủng virus gây giảm bạch cầu mèo được phân lập với hiệu giá virus sau 5 lần truyền đời trên môi trường tế bào CRFK giao động từ 1,77×108 – 1.77×109 TCID50/ml; virus đạt hiệu giá cao nhất sau 36 giờ gây nhiễm và giảm dần sau 40 giờ gây nhiễm. Thời gian thích hợp để thu virus đạt hiệu giá cao nhất là sau 36 giờ.
Thông tin chi tiết truy cập tại: http://tapchi.vnua.edu.vn/wp-content/uploads/2021/07/tap-chi-so-8.2-1.pdf
Pathological feature and Biological Characteristics of Feline Panleukopenia Virus isolate
from cat in Hanoi
ABSTRACT
The study was conducted in order to determine the pathological and biological features of the feline panleukopenia virus causing disease in domestic cats in Hanoi. In the present study, eight cats from 2 months to 1 year-old-age were observed clinical symptoms, and collected samples for histopathology examination. The results showed that feline leukopenia caused by FPV had symptoms of vomiting, dehydration, and diarrhea… Gross lesions in the stomach and intestines were included congestion, mucosal hemorrhage, bloody substance contents… The major microscopic lesions were proliferation of the intestinal lymphatic nodules, with epithelial cell degeneration, collapsed villi of the intestine. The number of lymphocytes decreased sharply in the mesenteric lymph nodes, whereas monocytes and macrophages increased. The virus isolation results on CRFK cells have obtained 5 different virus strains with titers ranging from 1,77×108 to 1,77×109 TCID50/ml. The present findings on the growth curve of the virus showed that with the multiplicity of infectious dose MOI = 0.001, the highest viral titration was 1010,5 TCID50/ml after 36 hours post-infection.
Keywords: Feline panleukopenia, Phylogical, FPV, Virus Isolate.

English