Tính cấp thiết: Bệnh giảm bạch cầu truyền nhiễm ở mèo có tỉ lệ mắc và tỉ lệ tử vong trên 90% ở mèo con. Các biến đổi bệnh tích đại thể, vi thể là một trong những cơ sở khoa học được ứng dụng trong quá trình chẩn đoán lâm sàng cho mèo mắc bệnh. Tuy nhiên, FPV vẫn chưa được quan tâm nghiên cứu tại Việt Nam.
Mục đích: Chẩn đoán và nghiên cứu chuyên sâu về bệnh.
Phương pháp nghiên cứu: Phương pháp làm tiêu bản bệnh lý
Kết quả chính:
Bệnh tích đại thể: mổ khám 8 con mèo bệnh cho thấy bệnh tích đại thể tập trung chủ yếu ở ruột non và dạy dày như dạ dày sung huyết ở 6 mèo. (75%). Ruột non sung huyết gặp ở 8 con (100%), xuất hiện các điểm loét trên niêm mạc ruột ở 6 mèo (75%) và xuất huyết ở 7 mèo (87,5%), chất chứa bên trong ruột có mùi tanh lẫn máu ở 7 mèo (87,5%). Dạ dày sung huyết ở 6 mèo (75%). Các hạch lympho ở màng treo ruột của 7 mèo sưng to (87,5%). Một số biểu hiện nhẹ, không điển hìn khác: lách nhồi huyết, phổi viêm, túi mật sưng, thận xuyết huyết điểm, teo tuyến ức.
Bệnh tích vi thể:

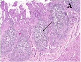
Kết luận: Các bệnh tích đại thể ở dạ dày, ruột gồm sung huyết, niêm mạc xuất huyết, chất chứa trong lòng ruột có mùi tanh máu. Bệnh tích vi thể rõ nhất ở ruột với nang lympho thành ruột tăng sinh, thoái hoá tế bào biểu mô, lông nhung đứt gãy. Bệnh tích của hạch lympho cho thấy số lượng bạch cầu lympho giảm mạnh ở vùng vỏ các nang hạch màng treo ruột; bạch cầu đơn nhân lớn và đại thực bào tăng mạnh. Các bệnh tích khác quan sát được gồm viêm kẽ phổi, viêm phế quản phổi và tăng sinh các vùng tuỷ trắng trong mô lách.
Từ khóa: Bệnh giảm bạch cầu mèo, bệnh lý, FPV
Hình ảnh minh hoạ
![]() |
![]() |
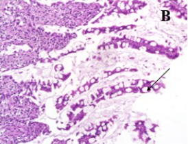
| Hình B. Ruột sung huyểt, xuất huyết rải rác hoặc từng đoạn ngắn | Hình C. Dạ dày sung huyết chứa nhiều dịch |
![]() |
![]() |
| Hình A. Nang lympho thành ruột tăng xinh (X100) | Hình B. Tế bào biểu mô ruột thoái hoá (X400) |
(Bài tổng hợp)
Nguyễn Thị Yến*, Nguyễn Vũ Sơn, Nguyễn Thị Ngọc, Lê Văn Hùng, Nguyễn Thị Giang, Phạm Quang Hưng
Khoa Thú y, Học viện Nông nghiệp Việt Nam





English