Tính cấp thiết:
Dịch tiêu chảy cấp do PEDV ( Porcine epidemic diarrhea virus) là bệnh truyền nhiễm lây lan rất nhanh, tỷ lệ mắc bệnh và tỷ lệ chết cao (có thể đến 100%) ở lợn dưới hai tuần tuổi. Dịch tiêu chảy cấp do Coronavirus được báo cáo lần đầu tiên ở Anh năm 1971,ở Việt Nam, bệnh được công bố cuối năm 2008, đầu năm 2009. Hiện nay chăn nuôi lợn rừng đã phát triển nhanh chóng khắp mọi miền đất nước, tuy nhiên dịch tiêu chảy cấp do PEDV vẫn là mối lo đối với người chăn nuôi, không biết có xảy ra trên lợn rừng nuôi hay không, tình trạng bệnh lý của lợn bệnh giống như các giống lợn khác hay không. Nghiên cứu này nhằm trả lời câu hỏi nêu trên của thực tiễn sản xuất
Mục đích:
Cung cấp các thông về triệu chứng lâm sàng, tổn thương đại thể, vi thể của lợn rừng nuôi mắc PED
Phương pháp nghiên cứu:
Phương pháp RT-PCR: xác định sự có mặt của virus PED ở lợn có biểu hiện tiêu chảy, chưa được tiêm vacxin phòng PED bằng RT-PCR. Mẫu gồm ruột non, hạch màng treo ruột, phân được nghiền và pha loãng với dung dịch đệm thành huyễn dịch. RNA được tách chiết bằng kit QIAamp Viral RNA Minikit. Cặp mồi được sử dụng mồi xuôi: 5’-TTCTGAGTCACGAACAGCCA-3’ và mồi ngược 5’-CATATGCAGCCTGCTCTGAA-3’.Triệu chứng lâm sàng của lợn dương tính với phản ứng RT-PCR được xác định là các triệu chứng của PED.
Thu mẫu mổ khám theo tiêu chuẩn trong TCVN 8402:2010 lấy mẫu từ các cơ quan và làm tiêu bản vi thể
Kết quả chính:
– Chẩn đoán PED bằng phương pháp RT-PCR từ mẫu chiết tách từ phân, ruột, hạch màng treo ruột của 35 con lợn rừng được mổ khám có kết quả dương tính cao với PEDV. Như vậy, lợn rừng nuôi cũng nhiễm PEDV cao như các loại lợn siêu nạc nuôi trang trại hiện nay.
– Triệu chứng lâm sàng chủ yếu là ủ rũ, mệt mỏi, phân lỏng, tanh, màu vàng(100%), gầy gò(80,8%) bỏ ăn, bỏ bú, nằm dồn đống (76,9%). Lợn con khát nước, uống nhiều nước (69,2%).
– Bệnh tích đại thể của lợn bệnh là xác chết gầy, phân vàng dính bết quanh hậu môn, dạ dày căng phồng, chứa sữa không tiêu, ruột non căng phồng thành mỏng, chất chứa có màu vàng lợn cợn và nhiều bọt (100%); hạch màng treo ruột sung huyết, xuất huyết (80,8%)
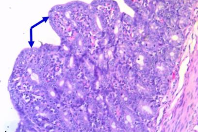
– Bệnh tích vi thể tập trung chủ yếu ở ruột non với lông nhung bị phá huỷ, tế bào biểu mô ruột thoái hoá, hoại tử, lông nhung ngắn lại và tù đầu. Bên cạnh đó bệnh tích vi thể kết hợp có thể do nhiễm khuẩn kế phát như sung huyết các mạch quản, thâm nhiễm tế bào viêm ở hạ niêm mạc.
Kết luận:
Tỷ lệ dương tính với virus PED của lợn rừng con theo mẹ là 74,3% đối với mẫu ruột, hạch màng treo ruột và 54,3% đối với mẫu phân. Triệu chứng lâm sàng chủ yếu của lợn rừng mắc PED là ủ rũ, mệt mỏi, phân lỏng,tanh màu vàng, gầy gò, nằm chồng đống, nằm trên bụng mẹ, bỏ ăn, mắt trũng sâu, uống nước nhiều, lười bú thân nhiệt giảm, thở nhanh… Lợn chết xác gầy, da khô, nhăn nheo, dạ dày và ruột non căng phồng, thành mỏng, chất chứa màu vàng, lợn cợn. Bệnh tích vi thể điển hình ở đường tiêu hoá với lớp lông nhung bị phá huỷ, tế bào biểu mô thoái hoá, tế bào biểu mô thoái hoá, hoại tử tăng sinh. Kết quả nghiên cứu khẳng định lợn rừng nuôi cũng mắc dịch tiêu chảy do virus như cũng các giống lợn khác
Từ khoá: PED, bệnh tích, lợn rừng, tiêu chảy

Hình 1. Ruột non lợn rừng mắc PED căng phồng, thành ruột mỏng

Hình 2. Lông nhung tù đầu, các lông nhung dính lại với nhau, HE
Nguyễn Thị Thơm1 , Nguyễn Vũ Sơn2*, Phạm Hồng Ngân2, Nguyễn Hữu Nam2
1Trường cao đẳng nghề Hà Giang
2Khoa Thú y, Học viện Nông nghiệp Việt Nam
*Tác giả liên hệ: nguyenvuson89@gmail.com/nguyenvuson@vnua.edu.vn

English